의원소개 의원소개 의료진소개 둘러보기 진료안내 찾아오시는길 임플란트 네비게이션 임플란트 임플란트 임플란트 재수술 뼈이식임플란트 상악동거상술 보험임플란트 일반진료 충치치료 신경치료 사랑니발치 스케일링 잇몸치료 전체/부분틀니 심미치료 크라운치료 커뮤니티 이벤트 온라인상담 공지사항 치료사례 보도자료 비급여항목 비급여항목 이벤트 네이버예약 블로그
CENTUMPLANT DENTAL CLINIC 커뮤니티 내 치아처럼 정확하게 치료하는 센텀플란트치과의원입니다. CENTUMPLANT DENTAL CLINIC 커뮤니티 내 치아처럼 정확하게 치료하는 센텀플란트치과의원입니다. CENTUMPLANT DENTAL CLINIC 커뮤니티 내 치아처럼 정확하게 치료하는센텀플란트치과의원입니다.
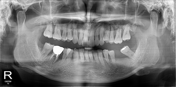
구치부 임플란트 최고관리자 0건 23-11-07 18:29 본문 구치부 임플란트 목록 이전글구치부 임플란트 23.11.07 다음글구치부 임플란트 23.11.07 댓글목록 0 댓글목록 등록된 댓글이 없습니다.